얼마전 환갑(60세)를 넘긴 어머니께서 병원을 다닌다고 하십니다. 어떤 일로 가시는가 했더니.. 대상포진이라고 하시더군요. 스치기만 해도.. 지릿지릿할 정도로 통증이 심하다고 하십니다. 제가 중년에 이르기까지 말로만 들었지 실제로 대상포진이 뭔가 싶었습니다. 제 어머님이 대상포진으로 고생하신다니.. 좀더 찾아보게 되더군요.
- 원인 및 전염성
대상포진이 바이러스에 의해 발생했다고 하면 갑자기 어떻게 감염되었는지에 대해 의아해 합니다. 이 질환을 일으키는 바이러스(Varicella-zoster virus)는 어릴 때 수두의 원인이 되는 바이러스와 같은 것인데, 수두 치료된 후에도 이 바이러스가 사라지지 않습니다. 우리 몸 속의 신경을 타고 척수 속에 숨어있다가 몸이 약해져 면역기능이 떨어지면 다시 활성화되어 이 병을 일으킵니다.
대상포진 환자를 접촉하였다고 이 병이 전염되지 않는다고 합니다. 그러나 이전에 수두를 앓은 경험이 없는 사람, 혹은 어린이나 병원에 입원 중인 환자에게는 질환을 유발시킬 수 있으므로 격리하는 것이 좋다고 합니다. 이 질환이 한 번 발생하였다고 면역이 생기는 것은 아니며 다시 생길 수도 있습니다. 그러나 재발률은 매우 낮아서 0.1~1% 정도에 불과하다고 하네요.(삼성서울병원 건강칼럼 인용)
-증상 전개
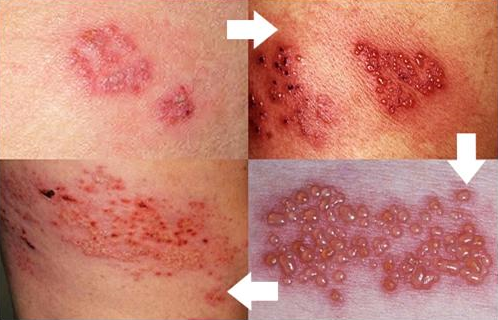
대상포진의 특징은 우리 몸의 신경을 따라서 퍼진다는 점입니다. 우리 몸의 신경은 척추에서 오른쪽, 왼쪽으로 한 가닥씩 나와 있기 때문에 대상포진에 걸리면 몸의 한쪽에만 통증과 수포를 동반한 피부 병변이 발생하며 주로 감각신경에 침범합니다. 이 질환의 첫 증상은 몸의 한쪽 편으로 심한 통증이나 감각 이상이 나타납니다. 두통, 숨쉬기가 곤란하거나, 배가 아프든지, 팔 다리가 저리며 근육통 등의 증상이 나타납니다. 초기에는 수포병변이 없이 가렵고 아프며 근육이 아파서 근육통이나 다른 내부장기 질환으로 오인해 며칠 지내보는 경우가 대부분이다. 수일 내에 물집이 나타나면 이 질환인지 곧 알 수 있습니다. 물집이 나타나면 3일 이내에 고름집 모양으로 변하고 일주일이 지나면 딱지가 생깁니다. (삼성서울병원 건강칼럼 참조)


- 예방
2007년 10월에, 미국에서는 60세 이상을 대상으로 한 대상포진 백신을 승인하였습니다. 미국의 연구에서는 백신을 50세 이상의 성인 수 만명에게 접종한 결과, 대상포진의 발생이 절반으로, 고통을 겪는 환자가 1/3로 줄어 대상포진의 예방효과가 있음이 확인되었습니다. 대상포진에 걸린 사람은 스트레스와 피로에 의해 면역력이 저하되는 상태이므로, 만성적으로 불규칙한 생활을 하거나 과도한 피로, 두뇌노동을 요하는 작업을 계속하는 것은 피하는 것이 좋으며, 규칙적인 생활과 충분한 영양 섭취, 마음의 안정이 필요합니다.
- 치료
최근 항바이러스제의 개발로 이 병의 치료에 많은 도움이 되고 있습니다. 그러나 바이러스에 의해 발생하며 현재까지 바이러스를 완전히 퇴치할 수 있는 약제는 없습니다. 다시 말하면 초기에 항바이러스 제를 투약하고 포진 후 신경통의 발생을 예방하는 것이 무엇보다 중요합니다. 이 질환의 치료는 항바이러스제 투여인데 수포 발생 3일 내지 5일 이내에 항바이러스제를 약 일 주일 정도 주사 또는 복용하면 대부분에서 완치된다고 합니다.
동시에 진통제 등을 투여하는 경우도 있는데, 치료 시작이 늦거나, 고령인 경우 또는 암 등이 있는 경우에는 약물 치료 후에도 통증이 계속될 수 있다고 합니다. 이 기간은 환자의 상태에 따라 다르지만 한 달에서 일 년 정도이며 경우에 따라서는 더 오래 지속될 수도 있습니다. 항바이러스제는 거의 전체의 약이 신장을 통하여 배설되므로 신부전증 등의 환자에서는 약제의 용량을 조절해야 한다고 하네요.
몇개월전에 어머니께서 대상포진했는데, 대상포진을 제대로 알게된 지금에서야 마음이 짠하네요. 무엇때문에 스트레스를 많이 받으셨는지,짐작이 되기에 더하네요. 실제 증상 자체도 많이 고통스럽다고 합니다. 주변에 연세가 많으신 분들이 대상포진일때는 여러 모로 각별히 신경쓰시는게 좋을 것 같습니다.
'건강' 카테고리의 다른 글
| 당뇨 증상 당뇨에 좋은 음식 정상수치 (0) | 2022.08.07 |
|---|---|
| 공황장애 증상 극복 치료 및 원인 자가진단 (0) | 2022.08.06 |
| 아스퍼거 증후군, 자폐 스펙트럼 증상 진단 (feat. 오은영, 우영우) (0) | 2022.08.05 |
| 기저질환 뜻 feat. 코로나 백신 (0) | 2021.06.06 |
| 아스퍼거 증후군 (feat. 한그루(무브투헤븐), 일론 머스크) (0) | 2021.05.26 |